 |
|
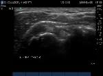
Subluxing Bicep tendon over lesser tuberosity
|
|
|
|
 |
|
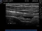
Subluxing Bicep tendon over proximal lesser tuberosity
|
|
|
|
 |
|
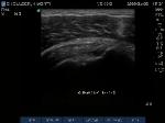
Splitting Bicep tendon over lesser tuberosity
|
|
|
|
 |
|
|
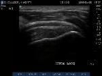
Long axis Bicep tendon with synovial fluid at level of surgical neck
|
|
|
|
 |
|
|
Long axis Subscapularis tendon inferior margin; articular surface partial tear
|
|
|
 |
|
|
Long axis (left) and Transverse (right) images of Subscapularis Tear
|
|
|
|
 |
|
|
Proximal Subscapularis tendon at tear site over humeral head transverse
|
|
|
 |
|
Supraspinatus tendon transverse over humeral head articular surface (articular surface changes in echotexture to hypoechoic)
|
|
|
 |
|
"Cartilage Interface Sign" the hyperechoic rim over the hypoechoic articular cartilage is not usually seen unless a fluid layer is between the tendon and cartilage surface. When the tendon is resting normally over cartilage the interface is only hypoechoic.
|
|
|
 |
|
|
Supraspinatus imaged distally over the Greater Tuberosity. Large articular surface tear measured anterior to posterior, Infraspinatus tendon is seen at the right as a hyperechoic tendon transverse oblique over the posterior humeral head.
|
|
|
|
 |
|
Long axis Supraspinatus tendon over lateral Greater Tuberosity. (lateral greater tuberosity is flat relative to the anterior) Tendon retraction is seen over cartilage interface sign of the humeral head.
|
|
|
|
 |
|
Slightly anterior movement of the probe to visualize the full detail of the tear only for this case study purpose.
|
|
|
|
 |
|
Anterior movement of the probe from the prior image shows beginning of cortical irregularities seen at the lateral Greater Tuberosity
|
|
|
|
|
 |
|
Anterior Greater Tuberosity imaged as a more pronounced curved cortical margin. This area of the insertion is truly Supraspinatus with no Infraspinatus merger. Here we see more cortical irregularity deeper into the cortex.
|
|
|
|
 |
|
|
Compression of the tear site may reveal a more normal cuff appearance, in this case, the flattening of the normally convex appearing bursal surface would indicate that there is volume loss at this level.
|
|
|
 |
|
Transverse and Long axis images should always be taken to demonstrate 2 imaging planes 90 degrees from each other.
|
|
|
|
 |
|
Posteriorly the Infraspinatus tendon in transverse plane is intact, but shows a bursitis that can be traced over the greater tuberosity. Proximal to this site this may be a normal myotendinous junction appearance.
|
|
|
|
 |
|
|
Long axis image of the Infraspinatus tendon over the posterior Greater Tuberosity also confirms bursal enlargement.
|
|
|
|
 |
|
Compression shows this is not simple bursal fluid.
|
|
|
|