MSKSONO.COM
Sample images page....MSKSONO.COM under construction
Normal Shoulder Images
Pathological Shoulder Images
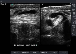
Pathological Ankle and Foot Images
Counter
MSK Ultrasound Videos
10-30-2009