 |
|
|
 |
|
|
|
|
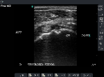
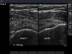
Biceps tendon Transverse: Left: normal Right: small effusion around biceps tendon; normal variant.
|
|
|
|
 |
|
|
 |
|
|
|
|
Rotator Cuff Interval: Left: normal Right: tendons are thickened but intact. Coracohumeral ligament intact.
|
|
|
 |
|
|
 |
|
|
|
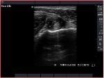
Biceps tendon long axis distal to the rotator cuff interval.
|
|
|
 |
|
|
 |
|
|
|
|
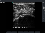
Subscapularis Tendon transverse axis: Right: Subscapularis tendon thickened relative to the left
|
|
|
|
|
 |
|
 |
|
Lesser tuberocity at subscapularis insertion. Left: normal Right: limited external rotation
|
|
|
|
|
 |
|
 |
tendon at level of the coracoid process; external rotations here.
|
|
|
|
 |
|
 |
|
Supraspinatus Tendon transverse axis: note the dark hypoechoic rim above the cortical surface (articular cartilage), this indicates the probe position is over the proximal Supraspinatus
|
|
|
|
|
 |
|
 |
Distal Supraspinatus at its insertion, note the hypoechoic rim above the cortex is absent, image is now over the Greater Tuberocity. The defect in the tendon on this image is at the anterior margin of the tendon at the border of the biceps tendon.
|
|
|
|
|
 |
|
 |
|
|
|
Supraspinatus Long axis: note the defect at the Greater Tuberocity surface. This image is taken at the mid long axis. It is important to sweep the probe anteriorly until the long axis bicep is seen.
|
|
|
|
|
 |
|
 |
|
Bringing the probe anteriorly may show more pathology, also rocking the probe heavier on the distal
|
|
|
|
|
 |
|
 |
Infraspinatus long axis: note the cortical defect on the posterior aspect of the humeral head.
|
|
|
|
|
 |
|
 |
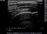
Infraspinatus Mid Segment: Intact with changes only to the Infraspinatus muscle are seen.
|
|
|
|
|
 |
|
 |
|
Proximal Infraspinatus muscle belly. Again, the Infraspinatus appearance.
|
|
|
|
|
 |
|
 |
|
Posterior Labrum: Changes are seen with in the triangular appearance of the labrum internally and is now rounded instead of flat over the joint.
|
|
|
|
|
 |
|
|
|
 |
|
AC Joint: cortical changes only, capsule intact with no effusion or internal echos indicating loose bodies.
|
|
|
|